Design your smile. A hideaway dental clinic with high-level technology.
あなたの笑顔をデザインします。
ハイレベルの技術と隠れ家的な歯科医院。

歯のことでお悩みはありますか?
お口元は、素敵な笑顔を作るだけでなく
食事、会話、姿勢、老化、全身に関係します。
Do you have any concerns about your teeth?
Your mouth is not only responsible for creating a beautiful smile.
It is related to eating, conversation, posture, aging, and the whole body.

TREATMENT
当院は、一般歯科から審美歯科まで幅広くご対応をしております。
本来のお口の理想を求めて患者様のお悩みを解決します。
Our clinic offers a wide range of services from general dentistry to cosmetic dentistry.
We solve patients’ problems in pursuit of their ideal mouth.
再治療を防ぐ根管治療
見た目も機能も
改善矯正治療できるだけ
削らない虫歯治療よく噛めるインプラント治療
こだわりのメンテナンス
美しさを求めたセラミック治療
印象アップ
間違いなしホワイトニングフィット感を追求した入れ歯治療

全国から相談・来院する患者様が続出
AO1デンタルクリニックが選ばれるのには6つの理由があります。
More and more patients are coming to our clinic for consultations from all over the country.
There are 6 reasons to choose us
-
一人ひとりに合わせた
オーダーメイド診療患者様のライフスタイルに応じて、治療計画を提案します。完全担当制で、忙しい方には、短期集中治療も可能。料金はカウンセリングの段階で見積書を作成し、ご説明しますので全体の流れもスムーズです。
-
プロフェッショナルな
メンバーが集結各分野に精通した歯科チームが連携し、安心で適切な治療プランを提供します。カウンセリングから手術、アフターケアまで、患者様にしっかりと時間をかけて最後までサポートいたします。
-
質の高い総合的な歯科治療を提供
一般歯科から専門的治療まで、幅広く行っており、患者様のニーズに合わせた歯科治療が可能です。繊細な色味や形、噛み合わせ、装着感など、見た目と機能性にこだわったトータル歯科治療を行います。
-
エステサロンのような
落ち着いた空間洗練された院内のデザインと、快適なリクライニングチェアに加え、映画や音楽を楽しめる設備環境をご用意。さらに、リラクゼーションルームも完備しているためリラックスして、治療を受けられます。
-
イベントに合わせた
短期集中プラン例えば、通常8〜10回の通院を4〜6回の治療で完了。スケジュールを調整し、1回の治療時間を長めに確保。就職や結婚を控えた方や遠方からの来院者にも選ばれる人気の治療です。
-
徹底した感染対策に
こだわった設備環境歯科用CTやレーザー、痛みを抑える自動麻酔器を導入し、精密な治療を実現。患者様のうがいするお水は、ミネラルウォーターを使用。常に清潔な環境を保つため、滅菌・消毒を徹底し、快適な空間を提供します。

実際の症例をご紹介いたします。
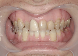
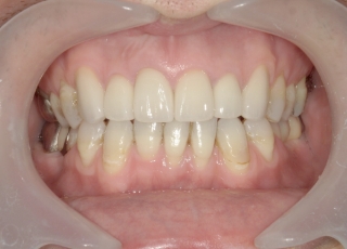
CASE01MTMとジルコニア


- 年齢
- 38歳
- 性別
- 男性
- 主訴
- 機能的にも見た目も全体的に綺麗にしたい。
現在結婚しているが、来年に結婚式を挙げたいのでそれまでに綺麗にしたい。 - 治療部位
- 下顎MTM
321_❘_123ジルコニア
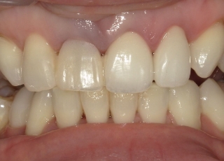
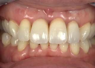
CASE02ジルコニア


- 年齢
- 30歳
- 性別
- 女性
- 主訴
- 他院で上顎前歯6本をセラミックにしたが不自然に感じるので治してほしい。
分厚く感じるし、そのせいで出っ歯に見える。口を閉じると上の前歯が下唇に当たるの治したい。 - 治療部位
- 321_❘_123ジルコニアクラウン
経過と担当医からのコメント
ダミーテキストダミーテキストダミーテキストダミーテキストダミーテキスト
CASE03ガミースマイル(歯肉整形)


- 年齢
- 27歳
- 性別
- 女性
- 主訴
- 上顎両側中切歯が元々捻転しており、他院にてセラミックにしたのだが、形態が気に入らない。
側切歯に比べて大きい上に長く、左側中切歯は先端が欠けており気になる。 - 治療部位
- 21_❘_12 歯肉整形およびジルコニアクラウン
経過と担当医からのコメント
ダミーテキストダミーテキストダミーテキストダミーテキストダミーテキスト
CASE04前歯部インプラント(審美部位)


- 年齢
- 52歳
- 性別
- 女性
- 主訴
- 前歯を綺麗にしたい
- 治療部位
- 1_|_1 インプラント
経過と担当医からのコメント
ダミーテキストダミーテキストダミーテキストダミーテキストダミーテキスト
FLOW GUIDE

安心してご来院いただくために
治療開始までの流れをご案内いたします。
Guidance on the process up to the start of treatment .
01予約・問診
電話やウェブで予約を行い、来院時に問診票を記入して、症状や希望を確認します。※当院は通常の診療は予約制ですが、初診、急患は随時受け付けております。
02カウンセリング・診断
初めに患者様の悩みや希望をお伺いし、状態を確認していきます。その後、診査・診断を行い、今後の治療方針を決定します。些細なお悩みでも気軽にご相談ください。
03治療開始
治療計画に十分ご納得していただいてから、治療をスタートします。各担当が治療終了までしっかり受け持ちます。治療の過程や回復状況なども随時ご説明いたしますので、安心してお任せください。

DOCTOR
PRICE
安心してご来院いただくために料金の目安をご紹介
-
部分矯正
(片顎)30万円
※マウスピース矯正・裏側矯正など、患者さんに最適な方法で、組み合わせでも一律料金となります。
-
インプラント
(1本)45万円〜
-
オールセラミック(前歯部)
(1本)17万円〜
-
オール・E-maxオール
(1本)13万円〜
-
ホワイトニング
3万円〜
【保証について】
当院での矯正治療は、通常2年間を保証期間として設定しておりますが、セラミック治療に関しては、無期限で保証致します。矯正治療後は、固定用ワイヤーとマウスピースを併用して、後戻りを防ぎ、歯並びを安定させます。
セラミックの場合は、歯軋りなどの負担や歯を守るためにマウスピース着用のお願いをしております。
※下記の条件を満たさない場合は、保証適応外となりますのでご了承ください。
【当院で定期検診を受けていない場合】
定期検診の間隔は医師と要相談となりますが、必要に応じてCT撮影なども行います。定期検診と併せてクリーニング希望の場合は別途費用が発生致します。
【医師の指示に従わない場合】
矯正(固定用ワイヤーとマウスピースの併用)/ セラミック(就寝時のマウスピースの着用)
※マウスピースを紛失された場合は、別途費用が発生致しますので、ご注意ください。
【外的要因、肉体変化など当院の治療が原因でない場合】
上記の条件を満たしした上で、ご自身での保定を怠る、外傷、噛み合わせの変化、歯茎が下がるなどの肉体要因も保証対象外となります。
-
-
診療項目
審美歯科・インプラント・矯正・ホワイトニング・一般歯科
-
所在地
〒107-0061 東京都港区北青山1-2-7 コウヅキキャピタルビル1F
-
TEL
03-3402-6480
-
交通アクセス
銀座線/半蔵門線/大江戸線 「青山一丁目」駅 1番出口より徒歩0分
お車でお越しの方は、1時間分のパーキングチケットを青山ビルの駐車場に限りお渡ししております。
診療時間 | 月 | 火 | 水 | 木 | 金 | 土 | 日・祝 |
---|---|---|---|---|---|---|---|
10:00~13:30 | ● | ● | ● | ● | ● | ■ | - |
15:00~20:00 | ● | ● | ● | ● | ● | ■ | - |
■ 土曜日は10:00~13:00/14:00~17:00
よくあるご質問
Q1予約方法について
当院は完全予約制でございます。
ご予約を希望される場合は直接お電話していただくか、メールや公式LINE、Web予約フォームよりお問い合わせ下さい。
メールや公式LINEからのご連絡ですと、ご予約の調整にお時間を頂戴することがございます。
スムーズなご予約はお電話を推奨しております。
Q2予約の変更、キャンセルについて
体調不良やお仕事の都合などでキャンセルせざるを得ないことがあるかと思いますが、ご予約の変更やキャンセルは可能な限り予約日の前日までにご連絡をお願いいたします。
当院は完全予約制のため患者様おひとりおひとりの治療内容に沿った時間と治療の準備をしてお待ちしております。
ご予約日当日でもキャンセルや予定の変更が必要であることが分かり次第、お早めのご連絡をお願いいたします。
Q3診療時間について
月・火・水・金曜日 :10:00〜13:00・15:00〜19:00
土曜日 : 10:00〜13:00・14:00〜17:00
木・日曜日・祝日は休診日となっております。
Q4お支払い方法について
お支払方法は3種類で現金(お振込も可)の他、クレジットカード(VISA・マスター・JCB・AMEX・ダイナース・銀聯)、デビットカードとなっております。
治療内容によっては分割払いもお承りしておりますのでお気軽にご相談下さい。
Q5医療費控除は受けられますか?
医療費控除は、治療を目的とした1年間にかかった医療費の総額が10万円以上の場合に適用されます。生計を共にしているご家族の医療費も合算が可能です。控除申請の際には領収書を税務署に提出する必要があるため、必ず保管してください。詳しくは国税庁のホームページをご確認ください。
CONTACT

気になる症状がございましたら
お気軽にお問い合わせください。
If you have any symptoms that concern you.
Please feel free to contact us.
経過と担当医からのコメント
ダミーテキストダミーテキストダミーテキストダミーテキストダミーテキスト